Riad Hassan

Researcher & Lecturer

Riad_Hassan_Profile.png

I am Riad Hassan, a passionate researcher and lecturer specializing in computer vision, medical image analysis, and deep learning. I hold an MSc from BUET, where I developed an uncertainty-driven boundary-refined CNN for medical image segmentation.

With a proven record of publications in venues such as IEEE ISBI and Biomedical Signal Processing and Control, my research focuses on efficient deep learning network design, attention-based architectures, and adaptive loss functions. As part of the BioRAIN Research Group; Data Analytics Lab, IICT, BUET; and Computer Vision Research Cell, CSE, GUB, I contribute to cutting-edge projects in AI, Computer Vision, and Medical Imaging.

I am passionate about conducting impactful research and contributing to leading journals (TMI, PAMI, MIA, TIP) and conferences (CVPR, MICCAI, MIDL, ISBI, ICLR, ECCV). With expertise in Python, PyTorch, and large-scale experimentation, my goal is to advance the state of the art in Computer Vision, Medical Imaging and AI.

News

Apr 15, 2026 Upcoming! A web-based medical image segmentation visualizer is nearing release.
Oct 22, 2025 Guiding Undergraduate Researchers – A Seminar at Pabna University of Science and Technology
Sep 13, 2025 Our paper EDLDNet: An efficient dual-line decoder with multi-scale convolutional attention for multi-organ segmentation has been published in Biomedical Signal Processing and Control (Q1, IF: 4.9).
May 23, 2025 Our paper MobDenseNet: Brain tumor classification from MRI has been published in Array (Q1, IF: 4.5).
Dec 15, 2024 Our paper on Object Detection in adverse weather has been presented at STI 2024.

Selected Publications

  1. BPSC
    EDLDNet.JPG
    An efficient dual-line decoder network with multi-scale convolutional attention for multi-organ segmentation
    Riad Hassan, M. Rubaiyat Hossain Mondal, Sheikh Iqbal Ahamed, Fahad Mostafa, and Md Mostafijur Rahman
    Biomedical Signal Processing and Control, 2026
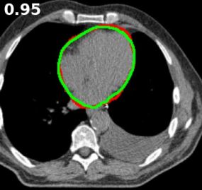
  2. UDBRNet.gif
    UDBRNet: A novel uncertainty driven boundary refined network for organ at risk segmentation
    Riad Hassan, M. Rubaiyat Hossain Mondal, and Sheikh Iqbal Ahamed
    PLOS ONE, Jun 2024
  3. ISBI
    UDBA-UNet.JPG
    Uncertainty Driven Bottleneck Attention U-Net For Organ at Risk Segmentation
    Abdullah Nazib*, Riad Hassan*, Zahidul Islam, and Clinton Fookes
    In 2024 IEEE International Symposium on Biomedical Imaging (ISBI), Jun 2024